Hérédité Humaine

  • Accueil
  • /
  • Cours
  • /
  • Hérédité Humaine

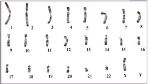
Ce caryotype humain reconstitué peut être celui :

 
 
 
 

La division cellulaire qui a lieu dans les glandes sexuelles :

 
 
 
 

Un crossing-over (“enjambement”) permet :

 
 
 
 
 

Parmi les caractères héréditaires, on peut citer :

 
 
 
 

Un gène :

 
 
 
 

Les caractères héréditaires :

 
 
 
 

Toutes les cellules de l’organisme :

 
 
 
 

Une anomalie récessive liée au chromosome sexuel X est transmise

 
 
 
 

Dans le cas d’une anomalie héréditaire, si un couple atteint a donné une fille saine, l’anomalie est

 
 
 
 

Dans l’espèce humaine, un individu atteint de trisomie 21 possède dans le noyau de ses cellules :

 
 
 
 

Question 1 sur 10